WFU
網站頁籤
最新文章
植牙手術
牙周手術
學經歷
學海無涯
2015年10月13日 星期二
牙齦的微整型
很多女孩兒,都不喜歡笑時有過多的牙齦露出
L小姐,雖然是個開朗的女生,但常常不敢開懷大笑,因為她一大笑就會有一大片的齒齦露出,更顯得牙齒很短。所以L小姐都只能笑得很含蓄,或是掩面而笑。
原因之一是因為牙齒萌發的過程,牙肉退縮不足( altered passive eruption),牙齒大小其實是正常的,比例過短是因為被牙肉蓋住了。另一個原因是L小姐的上顎齒槽骨條件良好(植牙很好,但是沒缺牙 ^^ ),但太豐隆了很容易把上唇推高。
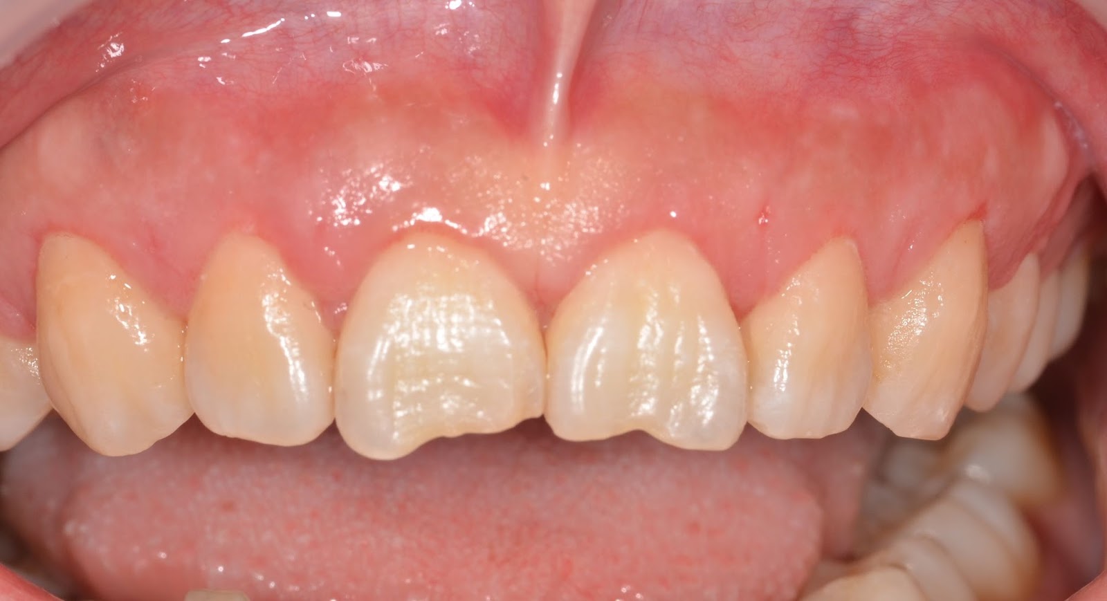
手術完成當天
牙齦的微整型,就是切除過多的牙齦,及修整過度外突的齒槽骨(這個電射就很難作得到)。術後的不適很少,通常只要吃一天的止痛藥,很多人甚至覺得不需要吃藥;術後的流血也很少,因為傷口都密密縫好了
一週後拆線
一周後拆完線,也幾乎看不見手術的痕跡,L小姐終於可以開懷大笑了!!
這張照片還是笑得有點兒含蓄(還不習慣)
較新的文章
較舊的文章